“I never smile,” said Ilderina while our photographer Dijana asked her for a “big smile” in our studio. This marked the beginning of her treatment journey, with the goal of revealing the smile she had always hidden.
Ilderina had a congenital absence of a lateral incisor, combined with a mesialized canine next to the central incisor, leaving a visible gap. At age 17, a previous dentist attempted to close the space with a prosthetic solution on the lateral incisor with a cantilever bridge. While the gap was temporarily closed, the aesthetic result was unsatisfactory.
Visible asymmetry, bone protrusion in the upper jaw, and misaligned teeth resulted in a smile that affected her confidence. For years, Ilderina avoided smiling. At Saraj dent dental clinic in Sarajevo, we approached her case thoroughly, prioritizing a solution that ensures both functional and aesthetic perfection.
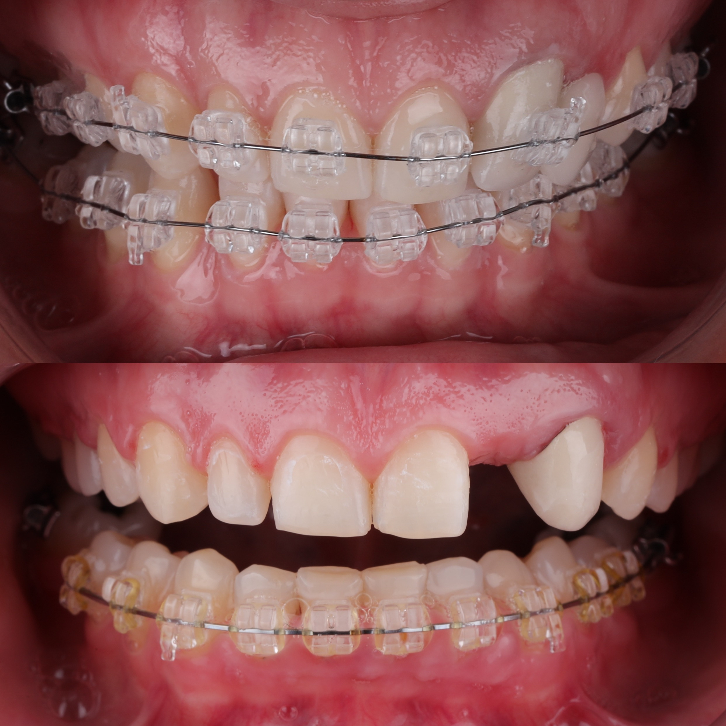
ORTHODONTIC PHASE
The patient had no lateral incisor, the canine occupied its position, and the space for the canine was empty. Although the ultimate goal was a bridge with zirconia-ceramic crowns, the initial positions of the abutments were not favorable for achieving gingival symmetry and proper bone contour.
We decided to correct the teeth positions orthodontically, creating ideal conditions for prosthetic reconstruction. Orthodontic treatment at Saraj dent lasted 18 months. During this period, the canine was moved to its natural position, and Ilderina had a temporary aesthetic tooth in the lateral incisor position. At the same time, we corrected her bite and the alignment of lower teeth, establishing the perfect foundation for the final prosthetic phase.

PROSTHETIC PHASE
After completing orthodontic treatment, the prosthetic phase began, aiming to establish proper smile symmetry and harmony between teeth, gums, and lip line.
With the space properly formed, six zirconia-ceramic crowns were made for the upper teeth. This material combines strength and natural translucency, making it highly desirable in aesthetic dentistry.
The process included several carefully planned steps:
- Comprehensive smile analysis and facial photography
- Minimally invasive tooth preparation to preserve natural tooth structure
- Digital intraoral scans for high precision and faster laboratory workflow
- Immediate placement of temporary crowns to maintain aesthetics throughout treatment
- Final zirconia-ceramic crowns with customized morphology, hand-layered ceramic, and precisely shaped incisal edges, resulting in a completely natural appearance

A RESULT THAT SPEAKS FOR ITSELF
Ilderina was thrilled, not only with the beauty but also with the natural look of her new smile. Today, she smiles confidently, just as she always wanted.
This case highlights the importance of a team-based, interdisciplinary approach in modern dentistry. When orthodontics and prosthetics work together, the result is not only functional but also aesthetically perfect.
At Saraj dent dental clinic Sarajevo, patients receive combined expertise from multiple specialists, advanced diagnostic tools, and individualized treatment plans, all in one place. This is why we are recognized for creating smiles with a story and professional excellence behind each one.